KARMAZIN DENTAL

Case Study 4


Case Study

Case Study 4

The patient presented with existing porcelain work that had been in place for 6-7 years, which was done to replace a congenitally missing tooth. However, she was unhappy with the gray appearance and symmetry of her smile. After obtaining accurate dental records, we used the Kois principles to plan the treatment. Our objectives were as follows:

  1. See the periodontist for a gingivectomy to improve gum line symmetry and increase tooth height.
  2. Consider the patient's history of acid erosion on her back teeth while planning the case, as it affects tooth structure and height.
  3. Address the patient's desire for a brighter shade of tooth color.
  4. Correct the slight angle (cant) of the front teeth to achieve better alignment.
  5. Plan the treatment in phases to accommodate changes and effectively communicate with the dental lab.

Overall, the treatment plan involved addressing the existing issues with the porcelain work, improving gum symmetry and tooth height, enhancing tooth color, aligning the front teeth, and coordinating with the lab for effective treatment implementation

step one

step ONE

The periodontist does a gingival procedure that lengthens teeth to give them a taller appearance.

step two

step two

After healing for 6 weeks post Periodontal treatment, it was PREP day for this patient. The goal of this day is to get teeth prepared for final restorations and give the patient the SMILE PREVIEW she has been excited for This is very important for our dental lab to follow this smile preview so that her porcelain restorations are an exact replica of these temporaries. We chose a bleach shade for her temporaries because we knew we were going to pick a high value bright porcelain color. We also learned that Tumeric stains temporaried, this can be polished out, we now warn our patients to avoid food and drinks that will stain temporaries.

step three

step three

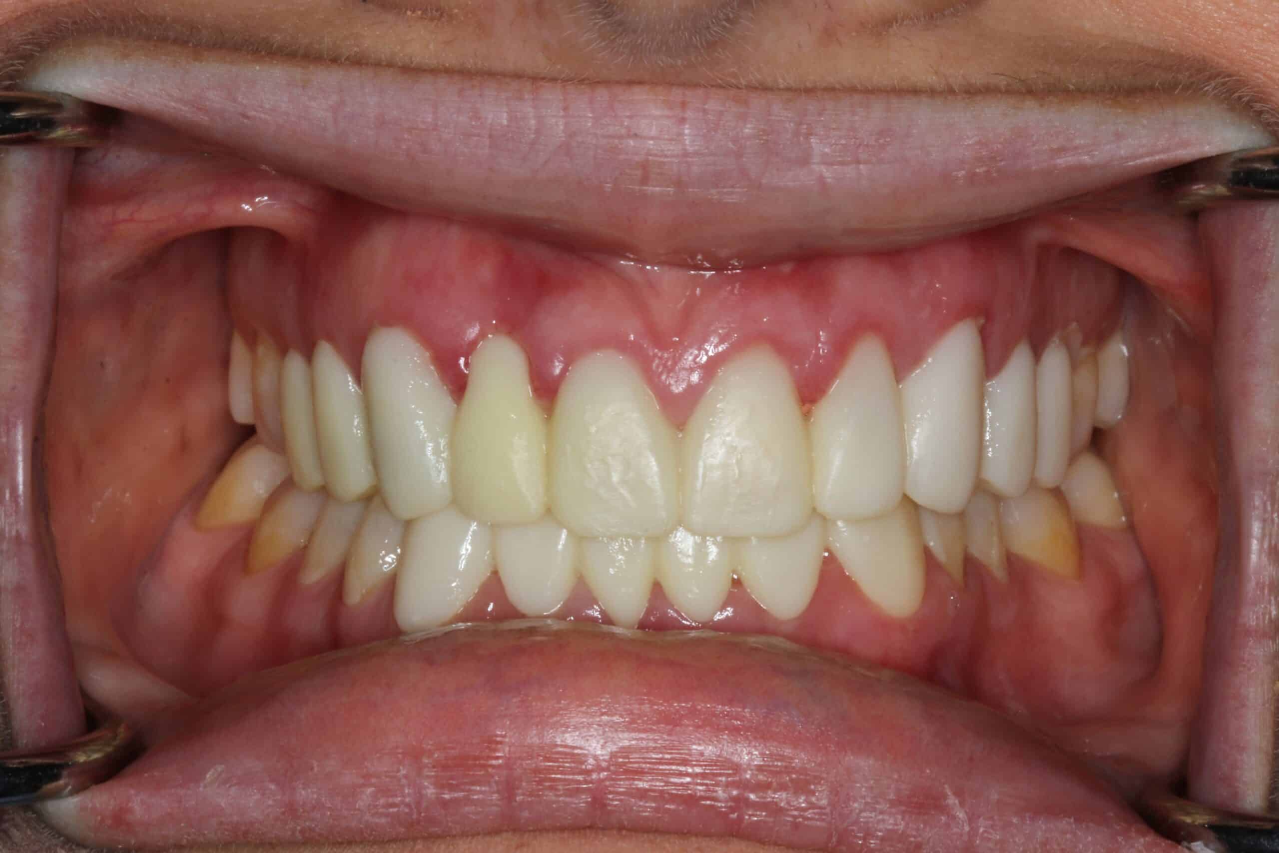
SEAT DAY! In a perfect work we will remove temporaries and cement the permanent porcelain restorations. There are a lot of factors we assess in this visit: how is the tissue response to the temporaries, how is the color of the new restorations, how is the contour and shade of the new restorations. Once these are all assessed, we then can cement the restorations. Yay! This takes a lot of time and precision. The results are amazing and the patient has a stabilized bite, the color she loves, and the esthetic result she wanted.

X14744_23
X14744_4
X14744_21