About Us

Our Beautiful Smiles

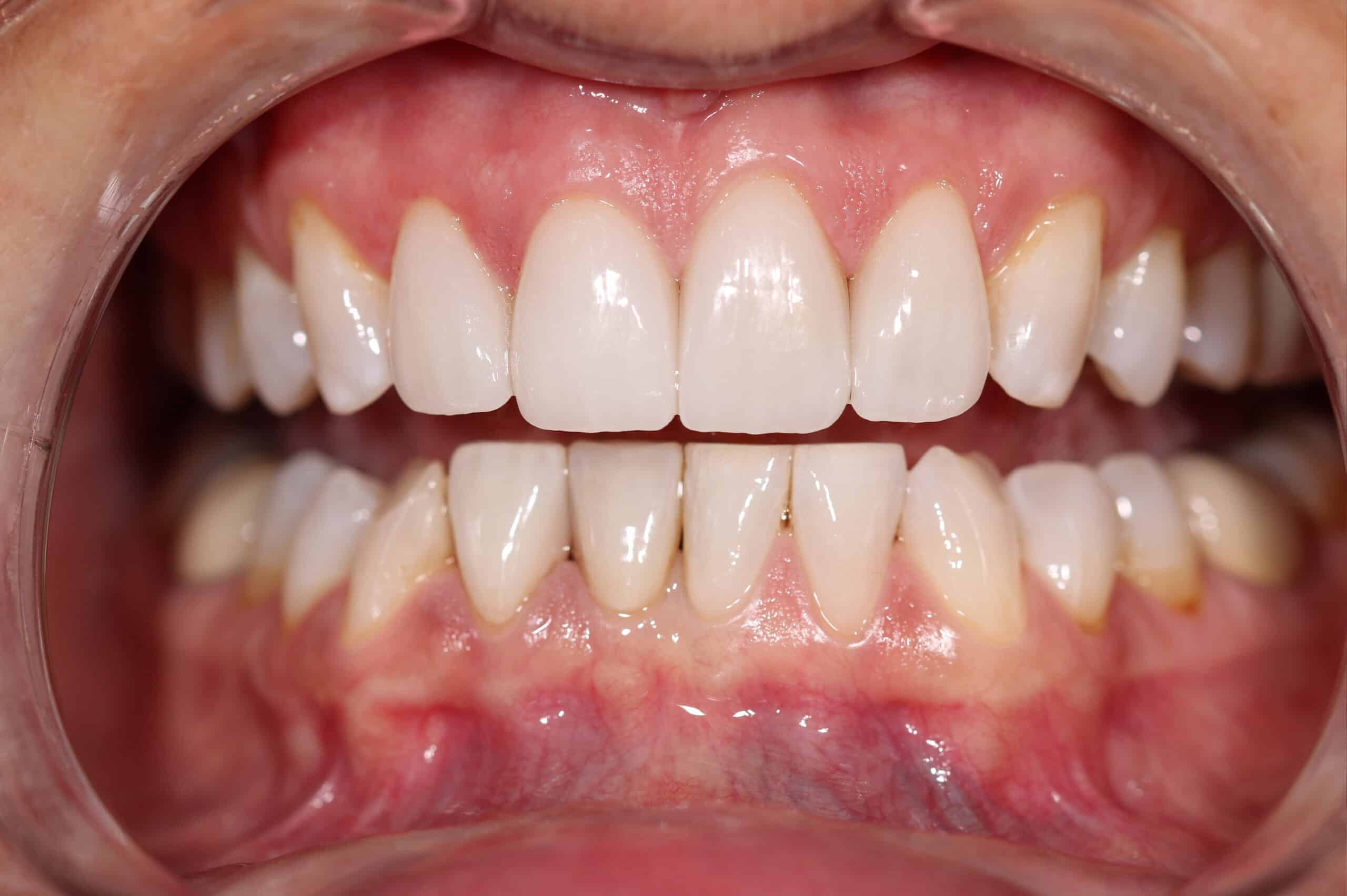
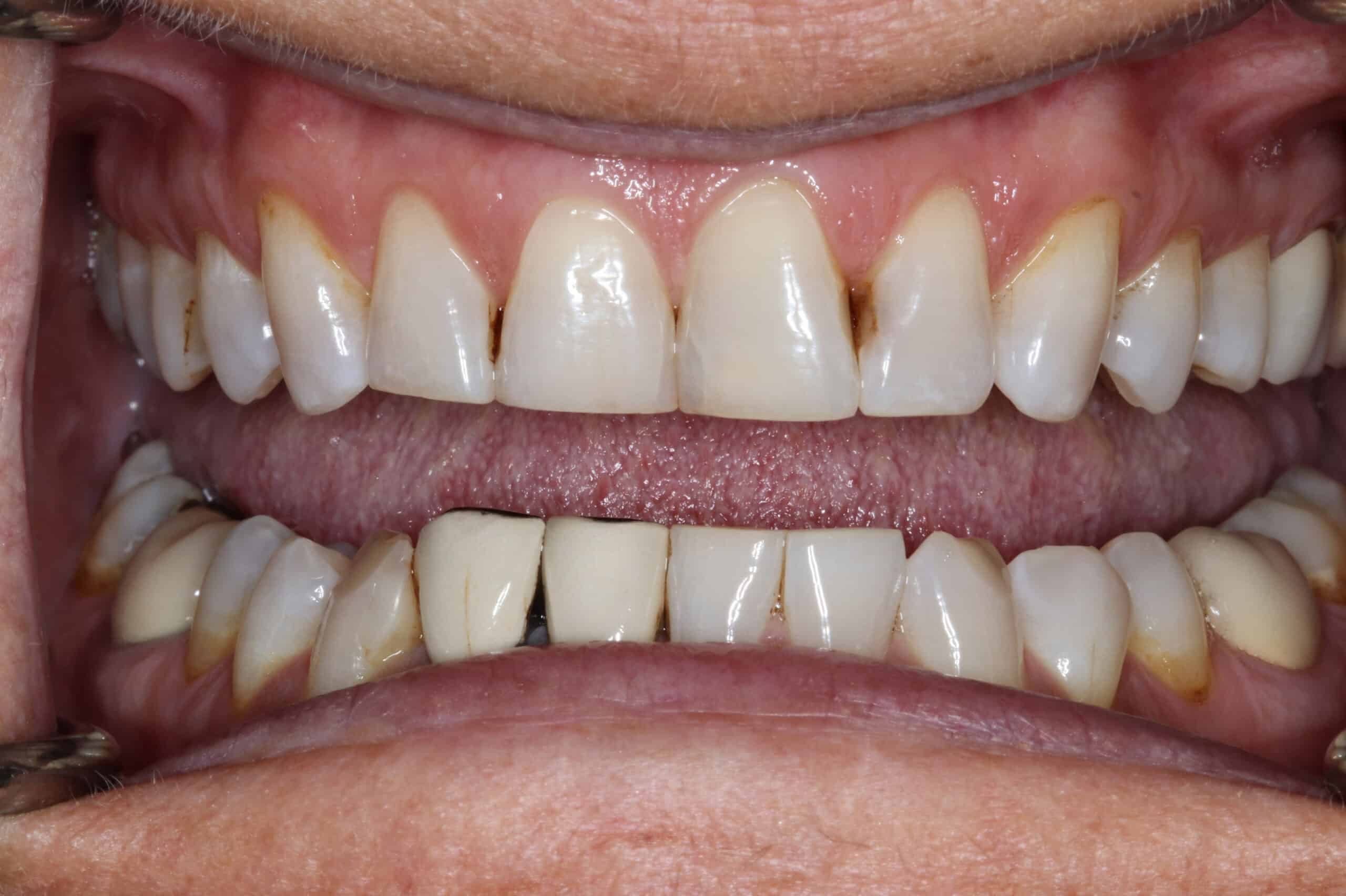
before & after

before & after

before & after

before & after

before & after

before & after

before & after

before & after

before & after

before & after

CASE STUDY

Giving this patient the smile she never had and always wanted.  The result is so beautiful she looks 20 years younger.

CASE STUDY

The patient presented with existing porcelain work that had been in place for 6-7 years, which was done to replace a congenitally missing tooth. However, she was unhappy with the gray appearance and symmetry of her smile. After obtaining accurate dental records, we used the Kois principles to plan the treatment.

CASE STUDY

Ready to make the change from old and damaged composite bonding.  Not only is this a revision but a revival of her smile.

CASE STUDY

This is a classic case of being as conservative as possible.  A GUM LIFT and composite bonding and she had an amazing result.

CASE STUDY

This patient was frustrated with the continuous chipping of her front tooth.  “I am done with the patching.  I want things fixed right.”

With all her extensive existing dental work we opted for full coverage restorations.  The overall look was important to the patient but even more so, that patient wanted dentistry that would be durable and long lasting.

CASE STUDY

Ready to make the change from old and damaged composite bonding.  Not only is this a revision but a revival of her smile.

CASE STUDY

72 year old female came to me for a smile rejuvenation. She was excited to add some tooth length as well as changing the color.

CASE STUDY

Patient chipped the porcelain on his front tooth.  Revision dentistry is my favorite.  30 year old crowns and a fun challenge of matching new porcelain with existing teeth.

CASE STUDY

Due to excessive wear or “grinding” caused by acid reflux, this patient had drastically shortened teeth. He desired an aesthetic change but also wanted to be sure that any work we did would hold up to the high amount of acid in his mouth.  Full coverage crowns were completed to achieve both of his requests.

CASE STUDY

We replace a lot of old dentistry.  The patient told me this dentistry chipped within days of having it done 30 years ago. These revision cases give us the chance to clean up everything under old dentistry and use the newest in materials to enhance the longevity.

CASE STUDY

A young patient sought cosmetic improvements for discolored front teeth and opted for conservative porcelain veneers after discussing options. A clinical crown lengthening procedure revealed more teeth than expected, allowing for veneering only two teeth instead of four, resulting in a stunning and cost-effective outcome. Photographic documentation guided the creation of beautiful porcelain restorations, and the patient now receives compliments on her natural-looking smile, with many surprised that they are veneers.

CASE STUDY

24 year old male originally presented on September 1st, 2021 for a comprehensive exam and to establish care as a patient in our office.  His chief complaint:  “It’s been years since I have been happy with the appearance of my front teeth.  I am ready for a change.  I am ready to make them look better. I really feel this will impact my career potential and give me more self-confidence.”

CASE STUDY

A long-time patient, Nicole, transformed her smile by taking extra time for tissue and gingival changes. A multidisciplinary approach, including a periodontist, addressed square-shaped and short teeth. Due to financial constraints, the initial treatment covered the front 6 teeth, with plans for future additions. Two years later, Nicole added two more porcelain veneers, achieving the desired complete and aesthetically pleasing smile.

CASE STUDY

This patient is a wonderful young man who we have seen in the practice for the past 17 years. His first initial trauma to the 2 front teeth was as a 9 year old. Root canal treatment was completed on tooth #8 and tooth #9 with composite bonding completed.

CASE STUDY

This case is an excellent example of INTERDISCIPLINARY dental planning.  We utilized 2 general dentists, and orthodontist and a periodontist to get this incredible result. This is awesome patient that we have known since moving into the freshman dorm at college!

CASE STUDY

This patient presented to our office knowing she was in need of some dental work.  She had a history of acid erosion as well as a bite dysfunction that caused her to grind and wear her teeth.  She had a job that put her in front of a lot of people, and she wanted her smile to “POP and SHINE.”

CASE STUDY

An extremely challenging case of deteriorating dental work that needed protective coverings.  The patient had put this work off as long as he could, and now the teeth desperately needed work.

CASE STUDY

This beauty came to our office specifically for her cosmetic desires. She wanted her smile to DAZZLE.

CASE STUDY

This was such an exciting case to do.  We totally REVIATLIZED this patient's smile.  A conservative smile design made her look 15 years younger, and it was so fun to do!