KARMAZIN DENTAL

Case Study 8


Case Study

This stunning and lovely patient presented to us as a referral from our Periodontist.  He saw her for a failing root canal and consulting about the possibility of a future dental implant.  Upon exam she did NOT have enough bone for a dental implant and we needed to create the smile of her dreams with a great cosmetic dental lab.

 

Patient Goals for this case:  To create the smile she’s NEVER HAD and ALWAYS WANTED.

step one

step one

We removed the failing tooth and immediately temporized her smile so that she didn’t have to worry about walking around without a tooth.  Along with the removal of the tooth there was some tissue grafting done so we didn’t lose any volume of her surrounding gum tissue.  With this step, she had to heal for 6 weeks before moving to the next step.  This is the tricky thing about BIOLOGY, we want it to go fast but need to be patient.

step two

step two

This was the FUN DAY!!!  Prep day.  This is the day we prepare the teeth for their porcelain restorations.  This appointment is usually completed with some mild oral sedation.  We like to take our time and this helps the patient relax.  She left this day with a beautiful set of temporaries that let her “test drive” our smile design.

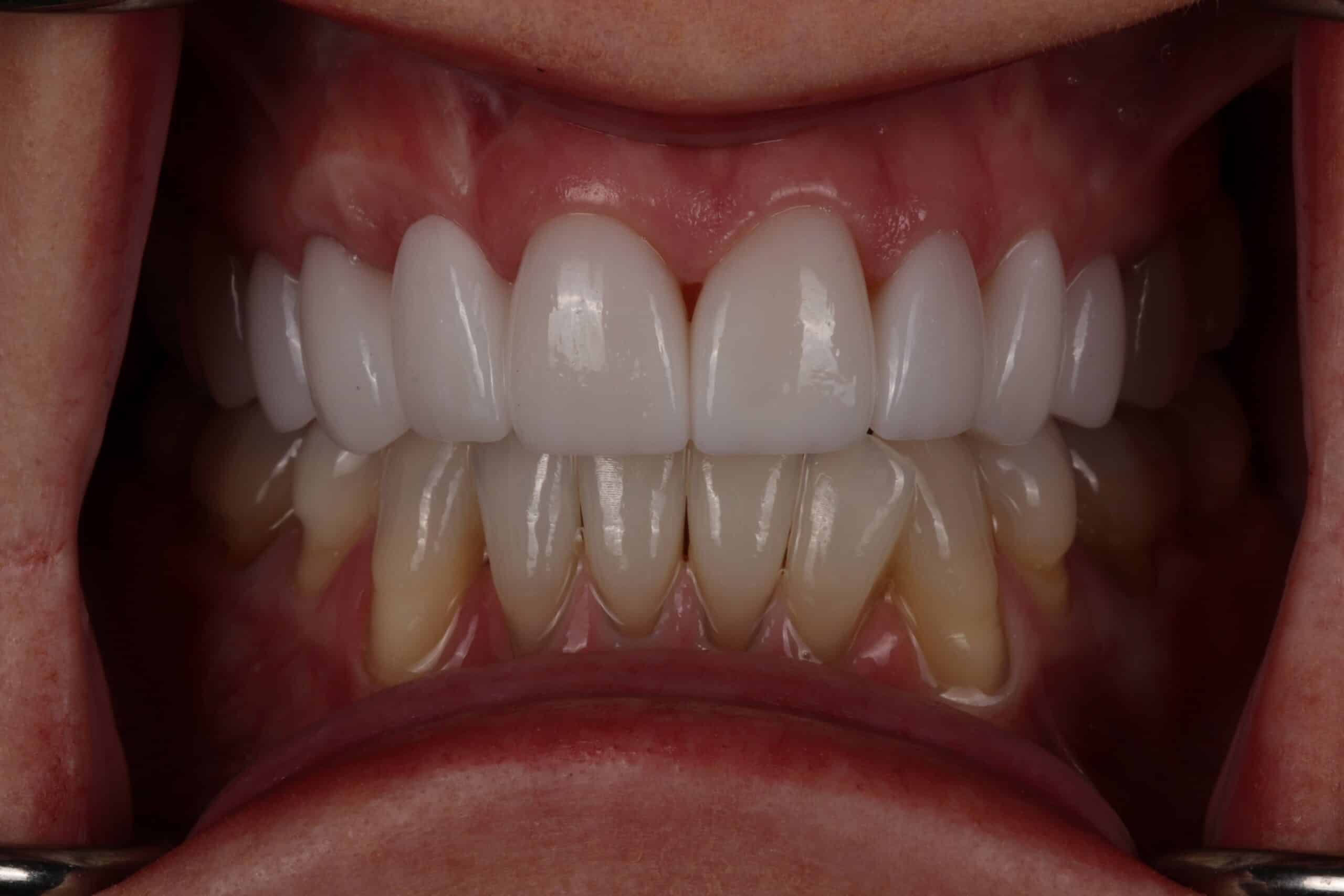
step three

step three

Final photos.  We LOVE this smile.  She LOVES this smile.  An amazing bleach shade porcelain gave her smile the boost she deserves.

X15054_7
X15054_8